Home
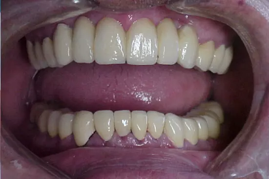
A Reabilitação Oral é uma especialidade que pode resolver tanto problemas estéticos quanto funcionais. Através de um conjunto de técnicas, o profissional proporciona uma boca saudável, um sorriso bonito e mais qualidade de vida para o paciente.
Para isso, ocorre a junção de vários tratamentos para oferecer o melhor resultado. Com uma avaliação completa da saúde bucal e um planejamento minucioso, o profissional irá definir o cronograma e os procedimentos necessários para que seja restaurada as funções dentárias e recuperada a autoestima.
PARA QUEM É INDICADO A REABILITAÇÃO ORAL? E QUAIS OS TRATAMENTOS QUE PODEM SER USADOS?
Podendo ser indicada àqueles que possuem queixas e não estão satisfeitos com o sorriso, é mais comum para quem apresenta a falta de um ou mais dentes. Via de regra, praticamente a maioria dos pacientes necessita desse tipo de tratamento, pois hoje a Odontologia aborda o paciente de maneira geral, deixando de focar apenas a boca e dentes. Antes de ser iniciado o planejamento e dependendo da avaliação do profissional, são necessários exames prévios, como tomografias, fotografias intra e extra bucais, analises por softwares específicos e escaneamentos orais, para que sejam indicados os tratamentos adequados para o caso. Os mais recomendados são:
– Cirurgia de extração;
– Implante dentário;
– Lentes de contato dental;
– Próteses removíveis, provisórias ou fixas;
– Restauração;
– Tratamento ortodôntico.
BENEFÍCIOS
Responsável por devolver a harmonia do sorriso, a saúde bucal e o conforto no dia a dia, os benefícios oferecidos pela Reabilitação Oral são:
– Acabar com incômodos;
– Aumentar a confiança;
– Correção de problemas dentários;
– Devolver a função fonética, mastigatória e respiratória;
– Maior cuidado pela saúde bucal;
– Melhorar a autoestima;
– Proporcionar ganho estético;
– Restabelecer a função dos dentes.
A Reabilitação Oral é um tratamento com objetivos multifuncionais. Sendo totalmente personalizado para cada paciente, ocorre uma combinação equilibrada da estética, saúde e funcionalidade.
Na ODONTO J. DIGITAL você conta com profissionais altamente experientes e capacitados para realizar a Reabilitação Oral e oferecer resultados eficientes e com a qualidade que o seu sorriso merece.
Agende uma avaliação conosco e venha ter mais bem-estar, conforto e segurança para sorrir!
PARA QUEM É INDICADO A REABILITAÇÃO ORAL? E QUAIS OS TRATAMENTOS QUE PODEM SER USADOS?
Podendo ser indicada àqueles que possuem queixas e não estão satisfeitos com o sorriso, é mais comum para quem apresenta a falta de um ou mais dentes. Via de regra, praticamente a maioria dos pacientes necessita desse tipo de tratamento, pois hoje a Odontologia aborda o paciente de maneira geral, deixando de focar apenas a boca e dentes. Antes de ser iniciado o planejamento e dependendo da avaliação do profissional, são necessários exames prévios, como tomografias, fotografias intra e extra bucais, analises por softwares específicos e escaneamentos orais, para que sejam indicados os tratamentos adequados para o caso. Os mais recomendados são:
– Cirurgia de extração;
– Implante dentário;
– Lentes de contato dental;
– Próteses removíveis, provisórias ou fixas;
– Restauração;
– Tratamento ortodôntico.
BENEFÍCIOS
Responsável por devolver a harmonia do sorriso, a saúde bucal e o conforto no dia a dia, os benefícios oferecidos pela Reabilitação Oral são:
– Acabar com incômodos;
– Aumentar a confiança;
– Correção de problemas dentários;
– Devolver a função fonética, mastigatória e respiratória;
– Maior cuidado pela saúde bucal;
– Melhorar a autoestima;
– Proporcionar ganho estético;
– Restabelecer a função dos dentes.
A Reabilitação Oral é um tratamento com objetivos multifuncionais. Sendo totalmente personalizado para cada paciente, ocorre uma combinação equilibrada da estética, saúde e funcionalidade.
Na ODONTO J. DIGITAL você conta com profissionais altamente experientes e capacitados para realizar a Reabilitação Oral e oferecer resultados eficientes e com a qualidade que o seu sorriso merece.
Agende uma avaliação conosco e venha ter mais bem-estar, conforto e segurança para sorrir!